středa 16. ledna 2008

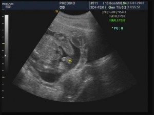
Čekal nás druhý velký UTZ v PREDICU, kam šli maminka s tatínkem spolu. Paní doktorka byla moc hodná, byla nadšená z mého srdíčka, ukazovala našim páteř, ledviny a dokonce viděli moje rtíky a nosík. A potvrdila, že jsem chlapeček! Naši si nechali celé vyšetření natočit na dvd a doma se na něj hned dívali s babičkou a dědečkem. Podle MS 20+4tt a podle UTZ 21+3tt - mám velkou hlavičku

Obrazek

Žádné komentáře: